Стентирование — малоинвазивная хирургическая операция по восстановлению кровотока в сонной артерии и профилактике ишемического инсульта при атеросклерозе и других патологиях. В ФНКЦ ФМБА вмешательство проводят ведущие сердечно-сосудистые хирурги Москвы. Стентирование сонных артерий проходит в операционных, оснащённых экспертными системами для рентгеновского контроля. Реабилитация проходит достаточно легко и быстро в комфортных стационарных палатах. Пациенты покидают стационар через день и возвращаются к привычной жизни уже через 7-10 дней.
Общая информация
Сонные артерии — парные кровеносные сосуды. Они расположены в области шеи (по обеим сторонам от шейного отдела позвоночника). Идут вдоль трахеи и пищевода. По внутренним сонным артериям кровь поступает к правому и левому полушарию головного мозга и глазным артериям. Наружные сонные артерии кровоснабжают кожу, мышцы, другие мягкие ткани головы и шеи.
При атеросклерозе сонных артерий на их стенках образуются жировые отложения — атеросклеротические бляшки. Если болезнь прогрессирует, они увеличиваются в размерах, частично или полностью блокируя сосуд. Из-за частичной закупорки (стеноз) кровоснабжение мозга ухудшается. У человека может появиться неспецифическая общемозговая симптоматика в виде головных болей, головокружения, нарушений памяти. Часть бляшки также может оторваться, переместиться вместе с током крови и заблокировать ветвь сонной артерии, непосредственно в полости черепа - это основной механизм развития нарушения мозгового кровообращения по ишемическому типу (ОНМК). При недостаточном поступлении кислорода клетки мозга погибают, а его функции нарушаются — развивается ишемический инсульт.
Ранее восстановление нормального просвета сосуда и устранение опасной бляшки было возможно только с помощью открытой операции под общим наркозом — каротидной эндартерэктомии. В этом случае хирург рассекает сонную артерию, удаляет атеросклеротическую бляшку и накладывает шов. Современные эндоваскулярные технологии, применяемые в ФНКЦ ФМБА, позволяют восстанавливать проходимость сосудов через небольшой прокол под местным обезболиванием.
Показания
Когда врач может предложить стентирование:
- при симптоматике, перенесённом ишемическом инсульте — 60% и более сужения внутреннего просвета сонной артерии;
- при отсутствии симптомов — более 70% сужения просвета сосуда;
- после перенесенной эндартерэктомии возникло повторное сужение просвета сосуда (рестеноз).
Показания для операции ориентировочные. Решение о необходимости стентирования принимает врач на основании клинической картины, анатомии поражения и сопутствующих заболеваний у пациента.
Противопоказания
Стентирование не показано пациентам перенесшим внутримозговое кровоизлияние (геморрагический инсульт), получающим антикоагуллянтную терпию в связи с нарушениями ритма сердца в течение 2-3 месяцев с момента наступления кровоизлияния.
К относительным ограничениям относятся:
- возраст пациента (старше 80 лет);
- выраженная извитость сонных артерий;
- тяжёлая дыхательная, почечная, печеночная недостаточность;
- нарушения свертывающей системы крови;
- аллергия на йодсодержащие препараты (специальная премедикация помогает выполнить операцию без риска для пациента).
Чтобы добраться до суженного участка, хирург делает маленький прокол в какой-либо крупной артерии организма, обеспечивая доступ. Если она извитая, покрыта жировыми отложениями или заблокирована тромбом, то вмешательство выполнить сложнее, и такой доступ будет противопоказан.
Подготовка
Лечащий врач проводит осмотр и назначает дополнительное обследование. На приёме нужно сообщить специалисту о принимаемых лекарствах, включая безрецептурные препараты и фитопрепараты.
Могут проводиться следующие диагностические тесты:
- общий и биохимический анализы крови;
- ЭКГ для проверки сердечного ритма;
- рентген грудной клетки, чтобы оценить состояние сердца и легких;
- тесты на ВИЧ, сифилис, гепатиты;
- ультразвуковое исследование (УЗИ) и компьютерная ангиография сосудов шеи и головы, МРТ головного мозга.
В течение 2-х недель до процедуры:
- За несколько дней до стентирования могут отменить определённые лекарства, например препараты для разжижения крови (антиагреганты), нестероидные противовоспалительные препараты (НПВП), препараты для лечения сахарного диабета.
- Стоит отказаться от курения.
- Сообщать врачу о любом заболевании, возникшем до операции, например о простуде или другой инфекции.
Обычно пациента просят не есть и не пить после полуночи в ночь перед стентированием. Специалист может дать дополнительные рекомендации.
Как проходит операция
Операция длится от 1 до 3 часов.
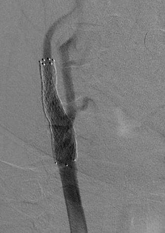
Перед стентированием проводят ангиографию — рентгенологический метод исследования, позволяющий определить характер, местоположение и степень стеноза.
Область пункции обрабатывают антисептическим раствором, вводят средство для местной анестезии. Общая анестезия чаще всего не требуется. Чтобы снять тревожность, врач внутривенно вводит препарат для седации. Во время операции пациент находится в сознании, в контакте с хирургом, выполняющим стентирование. При этом боли и неприятных ощущений он не испытывает. Пациента подключают к аппаратуре, отслеживающей артериальное давление и сердечный ритм.
Хирург пунктирует бедренную артерию в области паха, лучевую или плечевую артерию на руке. Начинается собственно стентирование:
- Длинная тонкая трубка (катетер) помещается в просвет кровеносного сосуда. Под рентгеновским контролем она продвигается до места сужения. Эта манипуляция безболезненна, так как на внутренней сосудистой стенке отсутствуют нервные окончания.
- Через катетер вводится контрастное вещество. Процесс не доставляет сильного дискомфорта. Но на одной стороне лица ненадолго может возникнуть ощущение тепла. Контрастирование даёт более подробное представление об участке стеноза.
- В сосуд помещается фильтр, чтобы уловить фрагменты жировой бляшки, способные оторваться во время вмешательства.
- Баллончик, расположенный на конце катетера, надувается и расширяет сосуд.
- Посредством другого катетера во внутреннюю сонную артерию помещают стент — металлическую тонкую трубочку в виде сетки. раскрываясь, он обеспечивает поддержку стенки сосуда.
- После имплантации стента проводится оптимизация его расположения путем повторного раздувания и сдутия баллона
- Проводится ангиографический контроль в том числе интракраниальных отделов сонной артерии
- Удаляется устройство защиты мозга от эмболии
- Удаляется инструмент из перифиерической артерии, через которую осуществлялся доступ.
Когда стентирование заканчивается, врач в течение 15–30 минут прижимает место введения катетера, чтобы предотвратить кровотечение. На место прокола накладывают повязку.
После вмешательства восстанавливается полноценный кровоток по сонной артерии. Проходят головные боли, головокружения, проблемы с памятью и другие расстройства, связанные с атеросклерозом и недостаточным притоком крови к головному мозгу. Риск развития ишемического инсульта после стентирования снижается.

Восстановление
После вмешательства пациента транспортируют в палату стационара. Несколько часов после хирургического лечения рекомендуется постельный режим. В это время пациент находится под медицинским наблюдением, чтобы отследить признаки осложнений.
В том месте, где был вставлен катетер, иногда образуется гематома. Чтобы уменьшить дискомфорт, назначают обезболивающее. Чтобы быстрее вывести из организма препарат для контрастирования, врач советует пить больше жидкости.
Госпитализация длится 1-3 дня. Обычно после установки стента рекомендуют ограничить поднятие тяжестей, избегать интенсивной физической активности, не посещать баню и бассейн.
После процедуры периодически проводится УЗИ для контроля состояния сонных артерий.
Осложнения и факторы риска осложнений операции
При любой медицинской процедуре могут возникнуть осложнения.
Стентирование сонной артерии может осложниться:
- эмболия (закупорка) сосудов головного мозга, опасное инсультом;
- повторное тромбообразование и сужение сонной артерии (рестеноз);
- кровотечение, гематомы в месте катетеризации;
- пульсирующая гематома — образование полости, соединённой с артерией;
- образование сообщения между артерией и веной в области прокола.
Риски развития осложнений выше у пациентов с крупными бляшками протяженным сужением артерий и их кальцификацией, анатомическими особенностями сосудов, которые затрудняют установку стента. Вероятность негативных реакций увеличивается у людей старше 80 лет, при высоком артериальном давлении, при распространённом атеросклерозе.
Необходимо обратиться за медицинской помощью, если в месте прокола:
- беспокоят сильный отёк и боль;
- выделяется жидкость или кровь;
- нарастают покраснение и ощущение тепла.
Лихорадка и боли в груди тоже являются поводом для срочного обращения к врачу.
Преимущества стентирования в ФНКЦ ФМБА
Стентирование внутренней сонной артерии проводится в ФНКЦ ФМБА — одном из крупнейших в стране многопрофильных медицинских учреждений. Центр расположен в Москве.
Операцию проводят сердечно-сосудистые хирурги высокой квалификации с большим рабочим стажем. Врачи в совершенстве владеют современными методами диагностики и лечения заболеваний сосудистой системы. В приоритете у специалистов малоинвазивные методы лечения.
Медперсонал ФНКЦ ФМБА помогает пациентам правильно подготовиться к операции. Весь комплекс диагностических мероприятий можно пройти на базе клиники. После вмешательства пациент восстанавливается в комфортной палате стационара под контролем медперсонала. Врачи дают понятные рекомендации для быстрого восстановления. Остаются на связи даже после выписки.
Запишитесь на очный прием в ФНКЦ или получите онлайн-консультацию, чтобы узнать цену услуги и подготовить необходимые документы.
Случай из практики
В отделение сосудистой сердечно-хирургии ФНКЦ ФМБА поступила пациентка 64 лет со стенозами артерий, сахарным диабетом и проблемами с почками.
Первоочередной задачей стало восстановление кровотока. Врачи отделения приняли решение провести ряд операций, направленных на восстановление основной силы кровотока в артериях. Мы использовали современные эндоваскулярные методики, минимизирующие риски и развитие осложнений.
Пациентке в два этапа выполнили стентирование внутренних сонных артерий с обеих сторон. Это привело к значительному улучшению её самочувствия: женщину вскоре выписали домой
Случай 2
62-летний пациент жаловался на частые головные боли, головокружение и появление «мушек» перед глазами. Врачи провели ряд обследований и выявили критическое сужение (на 90%) правой внутренней сонной артерии. Было принято решение в кратчайшие сроки провести операции по установке стента для восстановления нормального кровотока.
После успешного лечения и контрольного обследования не было выявлено никаких нарушений кровообращения. Пациента выписали в удовлетворительном состоянии.
Случай 3
К нам поступила пациентка 64-х лет с хронической ишемией нижних конечностей с проявлениями перемежающейся хромоты. В ходе обследования мы выявили критические стенозы обеих внутренних сонных артерий, декомпенсированный сахарный диабет, контрастиндуцированную нефропатию.
Коморбидной пациентке с мультифокальным атеросклерозом, тяжёлым проксимальным критическим стенозом передней нисходящей артерии до 90%, умеренным аортальным стенозом, критическим стенозом правой сонной артерии 85%, левой сонной 80% решили провести этапную реваскуляризацию магистральных артерий.
Для снижения риска периоперационных осложнений специалисты отделения сердечно-сосудистой хирургии использовали этапные эндоваскулярные методики.
На первом этапе (05.09.2024) женщине выполнили стентирование внутренней сонной артерии слева. Во время госпитализации на втором этапе для стентирования ВСА у пациентки был диагностирован острый Q-не образующий инфаркт миокарда передней локализации с гемодинамически значимым поражением устья передней межжелудочковой ветви (ПМЖВ).
Врачи приняли решение направить пациентку на стентирование ПМЖВ левой коронарной артерии.
Третьим этапом (22.10.2024) было выполнено стентирование правой внутренней сонной артерии. При контрольном ДС зона реконструкции была проходима.
После лечения самочувствие пациентки значительно улучшилось.
Данная статья является информационным материалом и не предназначена для самодиагностики и самолечения. При появлении признаков недомогания следует обратиться к лечащему врачу.


![Лицензия на осуществление медицинской деятельности стр. 3 Лицензия на осуществление медицинской деятельности стр. 3]](https://fnkc-fmba.ru/images/licenzya/prew/03.jpg)











